8월 9일 PCR 검사 그리고 8월 10일 코로나 확진
법에 의하면 검사일로부터 7일간 자가격리를 해야되니
8월 15일까지 자가격리를 하면 되는 것이었다.
평소 운동을 하며 몸을 단련했기에
코로나에 걸린다고 해도 그렇게 크게 아프겠어라는 생각이 있었는데,
운동을 한다고 해서 바이러스에 대한 저항력이 생기는 것은 아니었다.

가장 먼저 나타난 증상은 열이었다.
PCR 검사를 하러갈 때만 하더라도 이미 열이 38도긴 했지만,
시간이 지날수록 열은 점점 더 높아져 40도까지 올라갔다.
가만히 누워서 안정을 취했으면 조금 덜 아프지 않았을까 싶지만
그러기엔 너무 심심해서... 얌전히 누워있지 못 한 것이 병을 키운 것 같기도 하다.
우선은 상비약 중 하나인 타이레놀부터 먹었다.
끼니마다 먹었던 것 같은데 한 번 먹을 때마다 2알씩 먹었다.
40도의 열이 계속 유지됐던 것은 아니었지만
3일 정도 오르락 내리락하면서 자주 볼 수 있었다.

열이 40도까지 오르지 않게 된 뒤 찾아온 증상은 기침과 가래였다.
열이 심하게 오른 동안은 전혀 없었던 증상이 이제서야 나타나기 시작했던 것이다.
이를 해결하기 위해, 이제는 코포나 시럽이라는 것을 먹었다.
집사람이 대충 2박스 정도 구해왔던 것 같은데,
워낙 심했기 때문에 상당수는 내가 먹었다.

기침과 가래로 고통받고 있을 쯤, 택배로 약이 도착했다.
집사람이 비대면 진료로 신청한 약이 도착한 것이었다.
살다살다 이렇게 많은 알약이 든 약 봉투를... 20대 때 먹게 될 줄이야.
코로나에 감염되고도 심하게 앓지 않은 친구들이 많았기에 새삼 부러웠다.

이 기간 동안 소화능력도 엄청나게 떨어졌기 때문에
많은 식사를 죽으로 해결했다.
그런 덕분에... 우리집은 본죽 그릇 부자가 되었다.


자가 격리가 풀리고 난 뒤에도 기침과 가래는 여전했다.
곧 호전되겠거니 싶어서 일주일 정도 더 기다려봤지만
이대로는 안되겠다 싶어서 근처 내과를 찾아갔다.
코로나 확진 이후 가래는 둘째치더라도
기침이 일상생활이 힘들정도로 심하다고 이야기하니
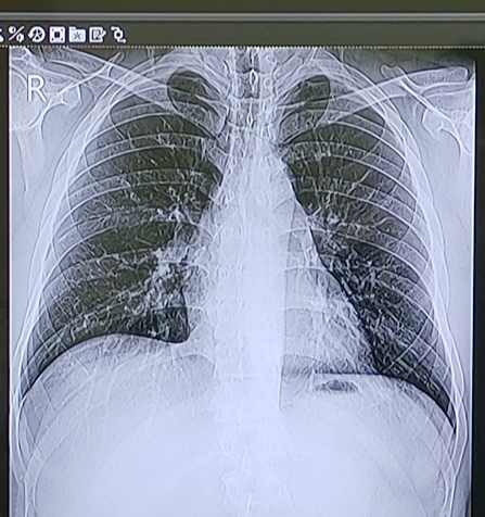
의사께서 X-Ray를 찍어보자고 하셨다.
내과에서 X-Ray라니 굉장히 특이하다고 생각했다.
의료 분야에 대해서는 까막눈이었기 때문에 뭐가 문젠지 몰랐는데,
근처 의료인에게 물어보니 원래 폐는 투명하게 나와야 하는데
흰색 선이 보이지 않느냐, 전부 염증이다 라는 설명을 들을 수 있었다.
그렇다. 나는 코로나 후유증으로 기관지염을 앓게 된 것이었다.
병원에서 처방받은 알약의 갯수는 전에 먹던 것보다 상당히 적었지만,
같이 받은 시네츄라 시럽은 정말 맛이없었다.
약 봉투에 써져 있는 그림이 정말 실감이 되는 듯한 기분이었다.

이렇게 처방 받은 약이... 효과가 없던 것은 아니었지만,
그래도 효과가 너무 미미해서 답답하던 차에
항생제가 첨가된 수액이 직빵이라는 이야기를 들었다.
그래서 따로 시간을 내서 수액을 여러차례 맞았다.
자가격리 해제 이후 3일에 한 번씩은 맞은 것 같은데,
수액을 맞을 때마다 호전되는 것이 몸으로 느껴졌다.
수액을 맞는 동안 가만히 누워있어야 된다는 것이
괘나 성미에 맞지 않는 일이라는 것만 뺀다면,
완치가 될 때까지 지속적으로 맞을 생각이다..
코로나 확진 및 격리 해제 이후 한 달 경과
'코로나'라는 소동을 겪은지 한 달이 지나갔다. 그 사이 맞은 수액의 갯수는 양 손으로도 셀 수 없을만큼 많았다. 그만큼 많은 의료비가 지출되었지만... 다행히도 실비보험이 있었기 때문에 뼈
lgist.tistory.com
'꿀 정보 > 생활 정보' 카테고리의 다른 글
| 유리병으로 잔 만들기 도전!! (0) | 2022.10.21 |
|---|---|
| 코로나 확진 및 격리 해제 이후 한 달 경과 (0) | 2022.09.19 |
| 예비군 훈련과 계양부평예비군 훈련장 그리고 꿀팁 (Feat. PX) (0) | 2022.09.05 |
| 동거인의 코로나 확진과 추가 본인 확진 과정 (0) | 2022.08.17 |
| 2022년 예비군 조기 퇴소를 위한 원격훈련과 헌혈 (0) | 2022.08.05 |
댓글