운동을 꾸준히 해온 덕분인지 허리가 말썽을 일으킨 적은 없다.
역시 근육이 최고야 라고 안심하며 운동만 좀 하면서
이대로만 살면 참 좋을 것 같다고 생각을 했는데...

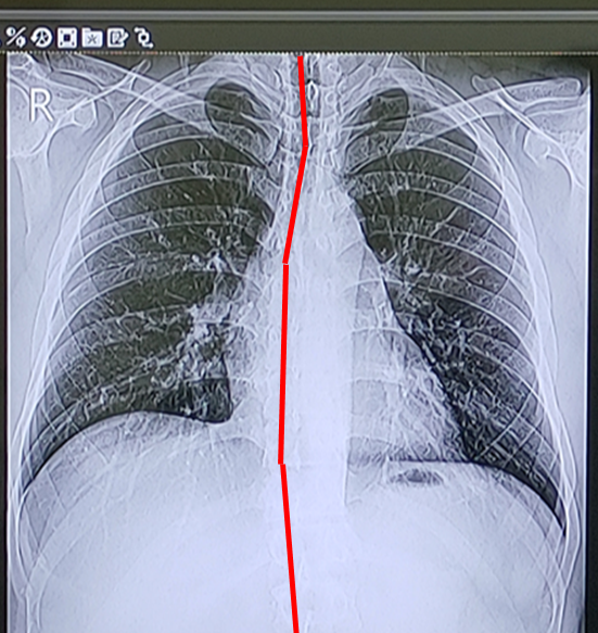
건강검진 때 척추 X-ray 사진을 보고 운동만으로는 부족하다는 것을 알 수 있었다.
자료가 남아 있는 코로나 때문에 찍었던 X-ray 사진의 척추 중심선을 그어보면 그 심각성을 알 수 있다.
휘지 말아야할 방향으로 휘어 있는 자신의 척추를 보고 있자니...
저 휨 때문에 내 키가 얼마나 줄어들었을까와 같은 생각도 들긴하지만,
뭔가 대책이 필요하다는 생각이 들었다. 본격적인 치료는 좀 부담스러워 피하고 있던 와중에,

평소 눈여겨보던 제품이 할인가에 나온 것을 발견했다.
2~3만원하는 가격 때문에 그냥 알음알음하며 지나치기만 했었는데,
반값이라는 폭풍 세일이란... 지름신을 강림시키기에 충분했다.
제품의 착용감이나 강점은 분명히 존재했다.
양 옆의 2중 보조대로 몸에 맞게 조이는 것도 좋았고,
등 허리의 고정바도 평소 자세를 잡아주는 것에도 도움이 되었지만
무엇보다 자세가 구부정해질 때마다 이물감을 느끼게하여
허리를 펴야한다는 것을 상기시키게끔 해주는 역할을 하였다.

하지만... 이 벨크로가 많은 불편을 불러 일으킨다.
해당 제품은 2중 보호대로 앞 뒤가, 등을 받쳐주는 허리 고정바가 좌 우를
바꿀 수 없도록 되어 있는 인체맞춤형이기 때문에
착용 시 벨크로의 방향을 바꿀 수 없다.
갈고리형 벨크로의 방향은 언제나 몸 안쪽을 향하게 되는 것이다.
몸 바깥쪽을 향하게 되면 다른 문제를 더 일으켰을 것이라는 것을 생각하면,
차라리 나은 것이라고 볼 수도 있지만...

제품 안 쪽에 있는 옷의 옷감을 망가트린다는 것은...
그냥 넘어가기 힘든 크나큰 실책이라고 생각한다.
맨 몸에 착용하기에는 갈고리 벨크로가 굉장히 쓰리니
이 보호대를 착용할 때는 망가져도 괜찮은 옷을 무조건 착용해야 한다.
많은 장점을 깍아버려 망가져도 되는 옷을 찾기 전까지
상당 기간 방치되었던 물건이지만, 망가져도 되는 옷을 찾은 지금
상당히 유용하게 사용하고 있는 허리 보호대이다.
'물품 리뷰 > 후기' 카테고리의 다른 글
| 챌린지하이브리드 원터치 차량용 거치대 사용 후기 (흡착판이 녹았다?) (0) | 2022.09.19 |
|---|---|
| 의자 엉덩이 땀, 통풍 방석으로 해결하자! [다이소] (0) | 2022.09.15 |
| 고급형 돌돌이 클리너(멜라루카) 수리기 (0) | 2022.09.05 |
| 고급형 돌돌이 클리너 (멜라루카) 소소한 사용기 (0) | 2022.07.03 |
| 보조거울 사용 후기 [다이소] (0) | 2022.05.08 |
댓글